Je sais que la news qui va suivre n'a aucun rapport avec le monde du t-shirt mais je ne peux m'empêcher de démarrer la semaine par une nouvelle aussi importante.
Tout d'abord vu au "zapping" de canal+ puis lu sur internet, ce que je vais vous dire est véridique et vérifié.
Tenez vous bien, l'Homme peut vivre avec un tout petit cerveau, ce n'est pas une blague ! On a trouvé un cas particulier sur Marseille.
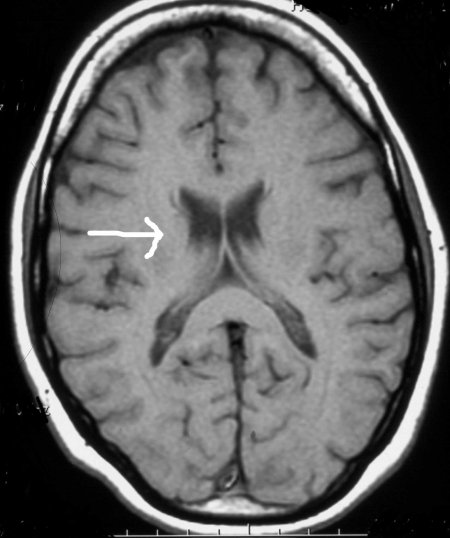
Ci-dessous, nous pouvons observer une IRM (Imagerie par Résonance Magnétique) d'un cerveau normal, vous remarquerez une petite flèche qui vous montre les ventricules latéraux, ce sont des poches habituellement petites contenant le liquide cérébro-spinal. Elles sont sombres. Je ne vais pas rentrer dans les détails, restons simples.

Ci-dessous, nous pouvons maintenant observer une autre IRM, absolument exceptionnelle, du fameux cas de cet homme repéré sur Marseille. Toutes les zones sombres représentent en fait une hypertrophie des ventricules latéraux !! Le cerveau est en blanc et se trouve autour de cette zone sombre.

C'est une découverte tout simplement incroyable pour la science. Personne ne pensait que l'on pouvait vivre normalement avec un si petit cerveau et pourtant...
Car oui, cet homme vit tout a fait normalement sur Marseille, marié et père de deux enfants, il travaille dans la fonction publique... je vois déjà les ricaneurs...
Il a obtenu 75 à un test de QI, ce qui est en dessous de la moyenne national mais pas de quoi diagnostiquer un retard mental.
Pour plus de détails, vous pouvez toujours consulter le site de l'express, ici.